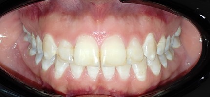
Nuestros Servicios
Ortodoncia Avanzada
Transforma tu sonrisa con tratamientos personalizados: brackets metálicos, estéticos, de zafiro, autoligado o alineadores invisibles. ¡Logra la alineación perfecta con tecnología avanzada!
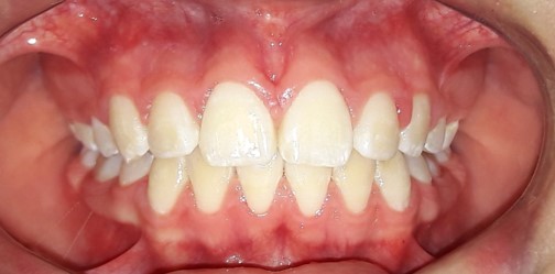
Limpieza Dental Profesional
Elimina placa, sarro y manchas con una limpieza profunda que mantiene tus dientes sanos y tu sonrisa fresca. Prevención y estética en una sola cita.
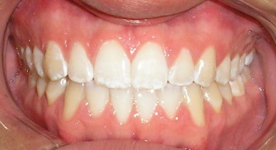
Resinas Estéticas
Restaura la forma y color natural de tus dientes con resinas de alta calidad. Una solución rápida y estética para pequeñas fracturas o caries.
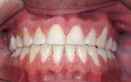
Blanqueamiento Dental
Periodoncia
Cuidamos la salud de tus encías para mantener la base de tu sonrisa fuerte y libre de enfermedades. Tratamientos personalizados para cada etapa periodontal.
Endodoncia y Cirugía Maxilofacial
Dra. Luz Carolina López Lejarza.
Cuidamos tu sonrisa, transformamos tu confianza
Apasionada por crear sonrisas saludables y estéticas, la Dra. Luz Carolina López Lejarza cuenta con amplia experiencia en ortodoncia y odontología integral. Su enfoque combina precisión, tecnología y trato humano para ofrecer tratamientos personalizados que transforman la salud y la confianza de cada paciente. Comprometida con la excelencia y la actualización constante, brinda atención profesional en un ambiente cálido y de total confianza.
Lejarza Ortodoncia
Somos una clínica Dental, que brinda un servicio profesional, siempre actualizados continuamente para brindar tratamiento dentales de vanguardia, con ética y toque humano.
Experiencia y Confianza
Tecnología de Vanguardia
Atención Personalizada
Cada sonrisa es única; por eso, cada tratamiento se adapta a las necesidades y objetivos del paciente.
Opiniones de Pacientes




Agenda Hoy Mismo tu Cita
Contacto
Horarios de Atención
Lunes a Viernes:
9:00 am a 2:00 pm
4:00 pm a 7:00 pm
Ubicaciones
Fray Pedro de Gante #59 Col. Cimatario, Querétaro, Qro.
Mina #108 Col. Centro, San Luis de la Paz, Gto.
Teléfono Querétaro
442 212 11 55
468 111 1201